咨询热线(服务时间为9:00~18:00):
从事海外辅助生殖医疗咨询业务
咨询热线(服务时间为9:00~18:00):
联系我们contact
电话:400-150-4491
地址:湖北省武汉市汉阳区沌口总部基地C7栋4楼
发布时间:2026-04-02 16:18:00
为了厘清这一误区,我们需要从胚胎评分的底层逻辑、临床处理策略及预后评估三个维度进行重新审视。
目前临床通用的胚胎评分标准属于形态学评估,其核心逻辑是基于“优胜劣汰”的视觉判断,而非对胚胎内在遗传物质的检测。
评分维度:
· 发育速度:胚胎的分裂节奏必须符合特定时间表(如受精后第2-3天应达到特定细胞数),过快或过慢均会被扣分。
· 细胞均一性:理想状态是细胞大小完全一致。若出现大小不一,通常被视为分裂不均,预示发育潜力可能受限。
· 碎片率:胚胎在分裂过程中排出的代谢废物(碎片)。少量碎片可忽略,大量碎片则会拉低评分。

· 透明带与胞质:细胞间是否紧密、透明带是否完整也是重要参考。
💡 核心观点:评分系统本质上是一种“外貌筛选”。虽然高评分(I-II级)通常与较高的种植率正相关,但低评分(III级)并不等同于“废品”。数据显示,III级胚胎依然拥有20%-40%的着床潜力,且其评分高低与未来胎儿的智力、外貌或健康状况无直接因果关系。
这是患者最容易陷入的认知陷阱。胚胎评分低通常反映的是“受孕难度”,而非“后代质量”。
自然选择机制:即使是低评分胚胎,若能成功着床并发育,说明其遗传物质是完整的。临床上大量案例证明,许多通过低评分胚胎移植出生的婴儿,其健康指标与高评分胚胎出生的婴儿无显著差异。
胎儿畸形的真相:胎儿的健康主要取决于父母的遗传基因、孕期环境及病毒感染等因素,而非胚胎在实验室阶段的形态是否“圆润”。
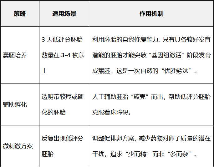
面对低评分胚胎,临床医生通常有以下几种干预路径,而非简单的“弃用”:

如果在操作规范的前提下,胚胎评分持续偏低,可能与以下因素有关:
精子与卵子:这是决定胚胎质量的根本。年龄、生活习惯、内分泌环境都会影响精子与卵子质量。
实验室环境:温度、pH值、渗透压等微环境的波动可能影响胚胎的外观形态。
生理状态:患者在取卵周期中的身体状况(如发热、过度焦虑、肥胖)也可能暂时性影响胚胎评分。
· 不要盲目丢弃:只要不是IV级(完全无利用价值),III级胚胎都应被视为珍贵的生育资源。
· 科学调理:在进入下一个周期前,建议通过改善生活方式(如戒烟戒酒、控制体重、补充辅酶Q10等抗氧化剂)来提升精子与卵子质量。
· 信任实验室:实验室的囊胚培养技术是挽救低评分胚胎的关键手段,给胚胎一点时间,它们可能会给你惊喜。